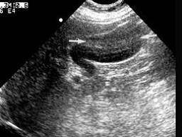
患者女,20岁,健康体检如图,根据胆囊声像图,提示?(?)A.胆囊癌B.胆泥C.胆囊泥沙样结石D.混响伪像E.以上都不是

作者: rantiku 人气: - 评论: 0
问题 患者女,20岁,健康体检如图,根据胆囊声像图,提示?(?)
选项 A.胆囊癌 B.胆泥 C.胆囊泥沙样结石 D.混响伪像 E.以上都不是
答案 D
解析

猜你喜欢

发表评论
更多 网友评论0 条评论)
暂无评论

访问排行

Copyright © 2012-2014 恰考网 Inc. 保留所有权利。 Powered by tikuer.com

页面耗时0.0366秒, 内存占用1.03 MB, Cache:redis,访问数据库19次