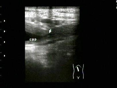
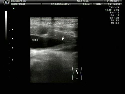
胆总管出现图中所示特点,称为?(?)A.双筒枪征B.海鸥征C.鸟嘴征D.鼠尾征E.平行管征

作者: rantiku 人气: - 评论: 0
问题 胆总管出现图中所示特点,称为?(?)
选项 A.双筒枪征 B.海鸥征 C.鸟嘴征 D.鼠尾征 E.平行管征
答案 D
解析

猜你喜欢

发表评论
更多 网友评论0 条评论)
暂无评论

访问排行

Copyright © 2012-2014 恰考网 Inc. 保留所有权利。 Powered by tikuer.com

页面耗时0.0462秒, 内存占用1.03 MB, Cache:redis,访问数据库20次