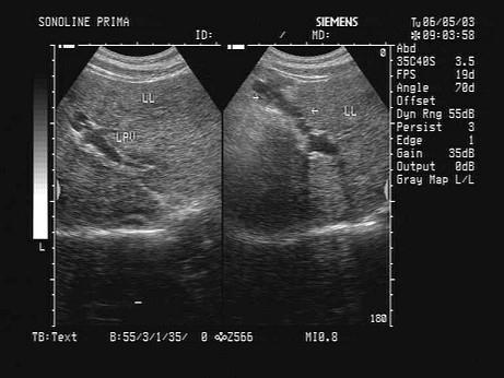
某患者肝脏声像图表现如图,提示肝脏回声不均匀致密,肝内可见一管状结构,诊断为?(?)A.肝内胆管扩张B.肝淤血C.脐静脉重开D.肝血管瘤 ...

作者: rantiku 人气: - 评论: 0
问题 某患者肝脏声像图表现如图,提示肝脏回声不均匀致密,肝内可见一管状结构,诊断为?(?)
选项 A.肝内胆管扩张 B.肝淤血 C.脐静脉重开 D.肝血管瘤 E.门脉海棉样变性
答案 C
解析

猜你喜欢

发表评论
更多 网友评论0 条评论)
暂无评论

访问排行

Copyright © 2012-2014 恰考网 Inc. 保留所有权利。 Powered by tikuer.com

页面耗时0.0410秒, 内存占用1.03 MB, Cache:redis,访问数据库20次