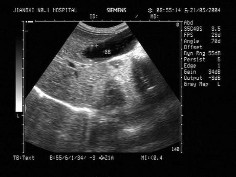
女,28岁,无任何不适,体检。声像图如图所示,诊断为?(?)A.胆囊结石B.胆囊息肉C.胆囊胆固醇结晶D.胆囊腺瘤E.胆囊癌

作者: rantiku 人气: - 评论: 0
问题 女,28岁,无任何不适,体检。声像图如图所示,诊断为?(?)
选项 A.胆囊结石 B.胆囊息肉 C.胆囊胆固醇结晶 D.胆囊腺瘤 E.胆囊癌
答案 C
解析

猜你喜欢

发表评论
更多 网友评论0 条评论)
暂无评论

访问排行

Copyright © 2012-2014 恰考网 Inc. 保留所有权利。 Powered by tikuer.com

页面耗时0.0538秒, 内存占用1.03 MB, Cache:redis,访问数据库19次