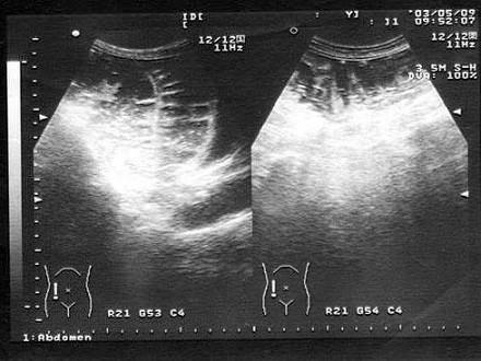
男,6岁,阵发性腹痛,呕吐数小时就诊。PE:肠鸣音亢进,呈气过水音。根据超声声像图诊断为?(?)A.急性肠梗阻B.急性肠炎C.肠套叠D.肠...

作者: rantiku 人气: - 评论: 0
问题 男,6岁,阵发性腹痛,呕吐数小时就诊。PE:肠鸣音亢进,呈气过水音。根据超声声像图诊断为?(?)
选项 A.急性肠梗阻 B.急性肠炎 C.肠套叠 D.肠穿孔 E.胃癌
答案 A
解析

猜你喜欢

发表评论
更多 网友评论0 条评论)
暂无评论

访问排行

Copyright © 2012-2014 恰考网 Inc. 保留所有权利。 Powered by tikuer.com

页面耗时0.0396秒, 内存占用1.02 MB, Cache:redis,访问数据库14次