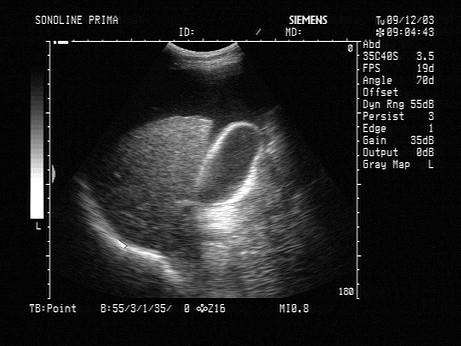
根据声像图表现,诊断是?(?)A.胸水B.腹水C.正常D.肠梗阻E.胆囊

作者: rantiku 人气: - 评论: 0
问题 根据声像图表现,诊断是?(?)
选项 A.胸水 B.腹水 C.正常 D.肠梗阻 E.胆囊
答案 B
解析

猜你喜欢

发表评论
更多 网友评论0 条评论)
暂无评论

访问排行

Copyright © 2012-2014 恰考网 Inc. 保留所有权利。 Powered by tikuer.com

页面耗时0.0293秒, 内存占用1.03 MB, Cache:redis,访问数据库19次