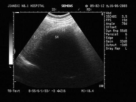
男,64岁,右上腹反复疼痛不适数10年,加重5天。声像图如图所示,诊断为?(?)A.肝内钙化带B.胆囊充满型结石并萎缩性胆囊炎C.胆囊蛔虫...

作者: rantiku 人气: - 评论: 0
问题 男,64岁,右上腹反复疼痛不适数10年,加重5天。声像图如图所示,诊断为?(?)
选项 A.肝内钙化带 B.胆囊充满型结石并萎缩性胆囊炎 C.胆囊蛔虫 D.肠襻回声 E.胆囊癌
答案 B
解析

猜你喜欢

发表评论
更多 网友评论0 条评论)
暂无评论

访问排行

Copyright © 2012-2014 恰考网 Inc. 保留所有权利。 Powered by tikuer.com

页面耗时0.0470秒, 内存占用1.03 MB, Cache:redis,访问数据库13次