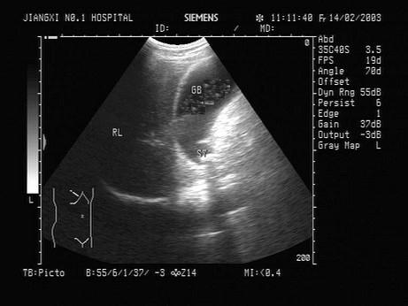
女,39岁,上腹部经常疼痛数年,加重3天,低烧,结合超声声像图,诊断为?(?)A.胆囊结石并急性化脓性胆囊炎B.胆囊息肉C.胆囊结石D.胆...

作者: rantiku 人气: - 评论: 0
问题 女,39岁,上腹部经常疼痛数年,加重3天,低烧,结合超声声像图,诊断为?(?)
选项 A.胆囊结石并急性化脓性胆囊炎 B.胆囊息肉 C.胆囊结石 D.胆囊腺瘤 E.胆囊癌
答案 A
解析

猜你喜欢

发表评论
更多 网友评论0 条评论)
暂无评论

访问排行

Copyright © 2012-2014 恰考网 Inc. 保留所有权利。 Powered by tikuer.com

页面耗时0.0428秒, 内存占用1.03 MB, Cache:redis,访问数据库20次