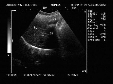
女,42岁,反复上腹疼痛不适多年,加重3天。声像图如图所示,最可能的诊断为?(?)A.胆囊泥沙样结石B.胆囊蛔虫C.胆囊癌D.胆囊息肉...

作者: rantiku 人气: - 评论: 0
问题 女,42岁,反复上腹疼痛不适多年,加重3天。声像图如图所示,最可能的诊断为?(?)
选项 A.胆囊泥沙样结石 B.胆囊蛔虫 C.胆囊癌 D.胆囊息肉 E.胆汁淤积
答案 A
解析

猜你喜欢

发表评论
更多 网友评论0 条评论)
暂无评论

访问排行

Copyright © 2012-2014 恰考网 Inc. 保留所有权利。 Powered by tikuer.com

页面耗时0.0471秒, 内存占用1.03 MB, Cache:redis,访问数据库20次