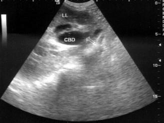
患者女53岁,上腹部疼痛不适半年余,皮肤、巩膜黄染进行性加重。B超检查如图所示,根据超声声像图诊断为?(?)A.胆总管下段癌B.胰头癌C.胆总...

作者: rantiku 人气: - 评论: 0
问题 患者女53岁,上腹部疼痛不适半年余,皮肤、巩膜黄染进行性加重。B超检查如图所示,根据超声声像图诊断为?(?)
选项 A.胆总管下段癌 B.胰头癌 C.胆总管炎性狭窄 D.胆总管结石 E.胆总管蛔虫
答案 A
解析

猜你喜欢

发表评论
更多 网友评论0 条评论)
暂无评论

访问排行

Copyright © 2012-2014 恰考网 Inc. 保留所有权利。 Powered by tikuer.com

页面耗时0.0553秒, 内存占用1.03 MB, Cache:redis,访问数据库20次