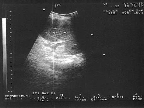
女,19岁,有淋巴瘤病史。结合超声声像图,诊断为?(?)A.脾淋巴瘤B.脾血管瘤C.脾结核D.脾错构瘤E.脾脓肿

作者: rantiku 人气: - 评论: 0
问题 女,19岁,有淋巴瘤病史。结合超声声像图,诊断为?(?)
选项 A.脾淋巴瘤 B.脾血管瘤 C.脾结核 D.脾错构瘤 E.脾脓肿
答案 A
解析

猜你喜欢

发表评论
更多 网友评论0 条评论)
暂无评论
错误啦!

错误信息

  • 消息: [程序异常] : MISCONF Redis is configured to save RDB snapshots, but it's currently unable to persist to disk. Commands that may modify the data set are disabled, because this instance is configured to report errors during writes if RDB snapshotting fails (stop-writes-on-bgsave-error option). Please check the Redis logs for details about the RDB error.
  • 文件: /twcms/kongphp/cache/cache_redis.class.php
  • 位置: 第 85 行
    <?php echo 'KongPHP, Road to Jane.'; ?>