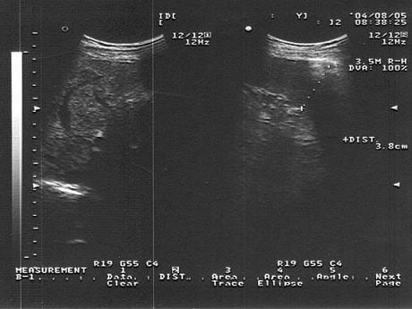
男,48岁,上腹胀痛,纳差,血吸虫病多年。结合超声声像图,诊断为?(?)A.血吸虫肝纤维化B.脂肪肝C.细菌性肝脓疡D.肝豆状核变性 ...

作者: rantiku 人气: - 评论: 0
问题 男,48岁,上腹胀痛,纳差,血吸虫病多年。结合超声声像图,诊断为?(?)
选项 A.血吸虫肝纤维化 B.脂肪肝 C.细菌性肝脓疡 D.肝豆状核变性 E.肝炎
答案 A
解析

猜你喜欢

发表评论
更多 网友评论0 条评论)
暂无评论

访问排行

Copyright © 2012-2014 恰考网 Inc. 保留所有权利。 Powered by tikuer.com

页面耗时0.0342秒, 内存占用1.03 MB, Cache:redis,访问数据库20次