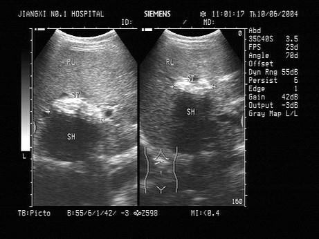
男,56岁,上腹部经常剧烈疼痛不适,皮肤巩膜黄染,加重1周。声像图如图所示,诊断为?(?)A.肝内胆管蛔虫B.肝内胆管胆汁淤积C.肝内钙化灶 ...

作者: rantiku 人气: - 评论: 0
问题 男,56岁,上腹部经常剧烈疼痛不适,皮肤巩膜黄染,加重1周。声像图如图所示,诊断为?(?)
选项 A.肝内胆管蛔虫 B.肝内胆管胆汁淤积 C.肝内钙化灶 D.肝内胆管多发性结石 E.肝内血管瘤
答案 D
解析

猜你喜欢

发表评论
更多 网友评论0 条评论)
暂无评论

访问排行

Copyright © 2012-2014 恰考网 Inc. 保留所有权利。 Powered by tikuer.com

页面耗时0.0359秒, 内存占用1.03 MB, Cache:redis,访问数据库20次