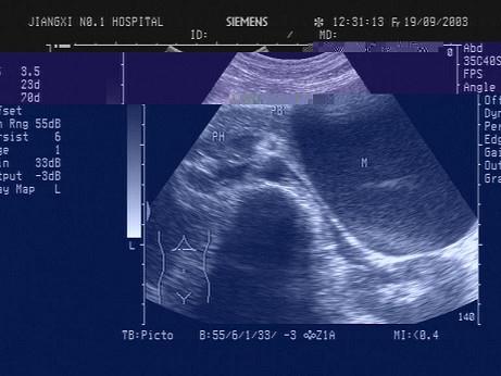
患者,急性胰腺炎治疗后,超声见胰腺尾前方7cm大小的囊性光团,如图所示,考虑为?(?)A.胰腺假性囊肿B.胰腺炎C.胰腺肿瘤D.胰腺脓肿 ...

作者: rantiku 人气: - 评论: 0
问题 患者,急性胰腺炎治疗后,超声见胰腺尾前方7cm大小的囊性光团,如图所示,考虑为?(?)
选项 A.胰腺假性囊肿 B.胰腺炎 C.胰腺肿瘤 D.胰腺脓肿 E.胰腺真性囊肿
答案 A
解析

猜你喜欢

发表评论
更多 网友评论0 条评论)
暂无评论

访问排行

Copyright © 2012-2014 恰考网 Inc. 保留所有权利。 Powered by tikuer.com

页面耗时0.0439秒, 内存占用1.03 MB, Cache:redis,访问数据库20次