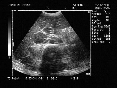
患者,发热,颈部及腹股沟可触及包块。清洁灌肠后,行中腹部超声检查,声像图表现如图,最可能的诊断是?(?)A.淋巴瘤B.胰头癌C.结肠癌D....

作者: rantiku 人气: - 评论: 0
问题 患者,发热,颈部及腹股沟可触及包块。清洁灌肠后,行中腹部超声检查,声像图表现如图,最可能的诊断是?(?)
选项 A.淋巴瘤 B.胰头癌 C.结肠癌 D.腹腔结核 E.腹膜后肿瘤
答案 A
解析

猜你喜欢

发表评论
更多 网友评论0 条评论)
暂无评论

访问排行

Copyright © 2012-2014 恰考网 Inc. 保留所有权利。 Powered by tikuer.com

页面耗时0.0507秒, 内存占用1.03 MB, Cache:redis,访问数据库19次