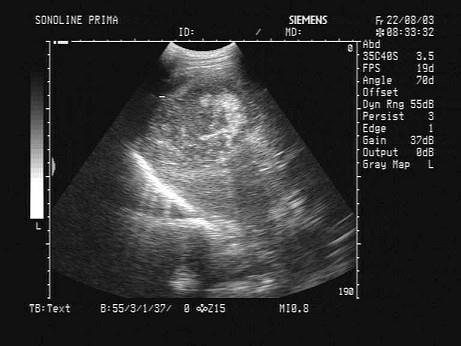
某患者25岁,高热,肝区疼痛。肝脏声像图表现如图,结合病史,最可能的诊断是?(?)A.肝血管瘤B.肝脓肿C.肝硬化D.肝癌E.肝囊肿

作者: rantiku 人气: - 评论: 0
问题 某患者25岁,高热,肝区疼痛。肝脏声像图表现如图,结合病史,最可能的诊断是?(?)
选项 A.肝血管瘤 B.肝脓肿 C.肝硬化 D.肝癌 E.肝囊肿
答案 B
解析

猜你喜欢

发表评论
更多 网友评论0 条评论)
暂无评论

访问排行

Copyright © 2012-2014 恰考网 Inc. 保留所有权利。 Powered by tikuer.com

页面耗时0.0390秒, 内存占用1.03 MB, Cache:redis,访问数据库20次