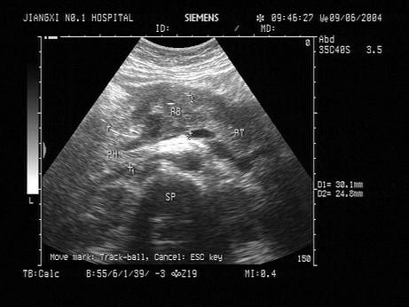
患者,暴饮暴食,血淀粉酶升高,超声见胰腺体积增大,边界不清,如图所示,考虑为?(?)A.胰腺癌B.胰腺炎C.胰腺囊肿D.胰腺脓肿E.以...

作者: rantiku 人气: - 评论: 0
问题 患者,暴饮暴食,血淀粉酶升高,超声见胰腺体积增大,边界不清,如图所示,考虑为?(?)
选项 A.胰腺癌 B.胰腺炎 C.胰腺囊肿 D.胰腺脓肿 E.以上都不是
答案 B
解析

猜你喜欢

发表评论
更多 网友评论0 条评论)
暂无评论

访问排行

Copyright © 2012-2014 恰考网 Inc. 保留所有权利。 Powered by tikuer.com

页面耗时0.0328秒, 内存占用1.03 MB, Cache:redis,访问数据库20次