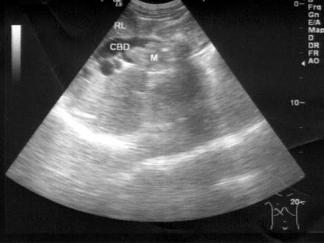
患者女47岁,皮肤、巩膜黄染,进行性加重2个月余,腹痛、腹胀,既往有胆结石病史。B超检查如图所示,根据超声声像图,诊断为?(?)A.胆总管癌并结石...

作者: rantiku 人气: - 评论: 0
问题 患者女47岁,皮肤、巩膜黄染,进行性加重2个月余,腹痛、腹胀,既往有胆结石病史。B超检查如图所示,根据超声声像图,诊断为?(?)
选项 A.胆总管癌并结石 B.胆总管胆泥淤积 C.胆总管结石 D.胆总管蛔虫 E.胆总管癌
答案 A
解析

猜你喜欢

发表评论
更多 网友评论0 条评论)
暂无评论

访问排行

Copyright © 2012-2014 恰考网 Inc. 保留所有权利。 Powered by tikuer.com

页面耗时0.0423秒, 内存占用1.03 MB, Cache:redis,访问数据库19次