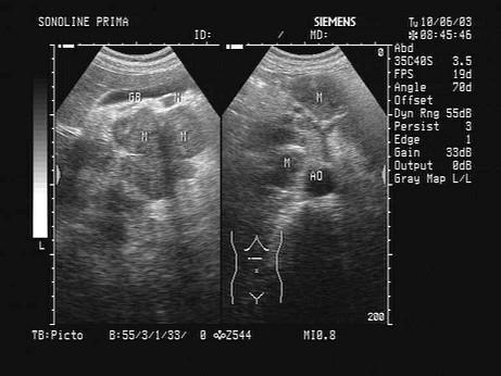
某患者肝门及腹腔可见多个肿块回声。根据声像图表现,最可能的诊断是?(?)A.肝癌B.胰腺癌C.肠系膜肿瘤D.肿大淋巴结E.以上都不是

作者: rantiku 人气: - 评论: 0
问题 某患者肝门及腹腔可见多个肿块回声。根据声像图表现,最可能的诊断是?(?)
选项 A.肝癌 B.胰腺癌 C.肠系膜肿瘤 D.肿大淋巴结 E.以上都不是
答案 D
解析

猜你喜欢

发表评论
更多 网友评论0 条评论)
暂无评论

访问排行

Copyright © 2012-2014 恰考网 Inc. 保留所有权利。 Powered by tikuer.com

页面耗时0.0489秒, 内存占用1.03 MB, Cache:redis,访问数据库19次