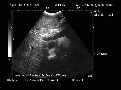
患者体检发现肝脏体积增大,超声见右叶巨大的强回声光团,边界见声晕,门脉见实质性光团充填,如图所示,考虑为?(?)A.肝癌并门脉癌栓B.肝脓肿 ...

作者: rantiku 人气: - 评论: 0
问题 患者体检发现肝脏体积增大,超声见右叶巨大的强回声光团,边界见声晕,门脉见实质性光团充填,如图所示,考虑为?(?)
选项 A.肝癌并门脉癌栓 B.肝脓肿 C.肝囊肿 D.肝结核 E.肝血管瘤
答案 A
解析

猜你喜欢

发表评论
更多 网友评论0 条评论)
暂无评论

访问排行

Copyright © 2012-2014 恰考网 Inc. 保留所有权利。 Powered by tikuer.com

页面耗时0.0732秒, 内存占用1.03 MB, Cache:redis,访问数据库20次