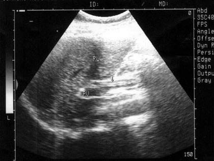
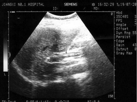
患者女33岁,右上腹剧痛5小时,体检:右上腹压痛及叩击痛(弱阳性),B超检查如图所示,根据超声声像图,诊断为?(?)A.胆总管结石B.胆总管引...

作者: rantiku 人气: - 评论: 0
问题 患者女33岁,右上腹剧痛5小时,体检:右上腹压痛及叩击痛(弱阳性),B超检查如图所示,根据超声声像图,诊断为?(?)
选项 A.胆总管结石 B.胆总管引流管回声 C.胆总管蛔虫 D.胆总管胆泥淤积 E.胆总管癌
答案 C
解析

猜你喜欢

发表评论
更多 网友评论0 条评论)
暂无评论

访问排行

Copyright © 2012-2014 恰考网 Inc. 保留所有权利。 Powered by tikuer.com

页面耗时0.0327秒, 内存占用1.03 MB, Cache:redis,访问数据库19次