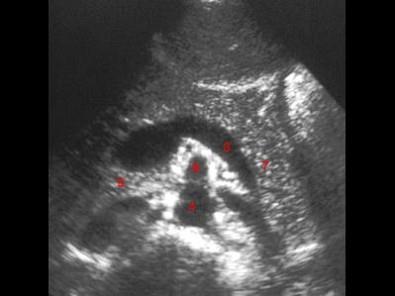
图示6所指部位?(?)A.脾静脉B.腹主动脉C.胰尾D.肠系膜上动脉E.肠系膜上静脉

作者: rantiku 人气: - 评论: 0
问题 图示6所指部位?(?)
选项 A.脾静脉 B.腹主动脉 C.胰尾 D.肠系膜上动脉 E.肠系膜上静脉
答案 D
解析

猜你喜欢

发表评论
更多 网友评论0 条评论)
暂无评论

访问排行

Copyright © 2012-2014 恰考网 Inc. 保留所有权利。 Powered by tikuer.com

页面耗时0.0462秒, 内存占用1.03 MB, Cache:redis,访问数据库17次