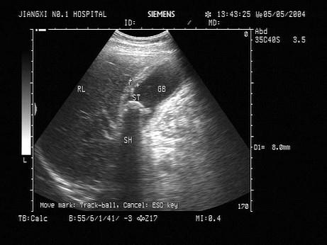
患者右上腹疼痛1周,厌油食,超声见胆囊内强回声,可移动,如图所示,考虑为?(?)A.胆汁淤积B.胆囊癌C.胆囊息肉D.胆囊结石E.胆囊蛔虫

作者: rantiku 人气: - 评论: 0
问题 患者右上腹疼痛1周,厌油食,超声见胆囊内强回声,可移动,如图所示,考虑为?(?)
选项 A.胆汁淤积 B.胆囊癌 C.胆囊息肉 D.胆囊结石 E.胆囊蛔虫
答案 D
解析

猜你喜欢

发表评论
更多 网友评论0 条评论)
暂无评论

访问排行

Copyright © 2012-2014 恰考网 Inc. 保留所有权利。 Powered by tikuer.com

页面耗时0.0446秒, 内存占用1.03 MB, Cache:redis,访问数据库20次