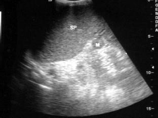
患者男37岁,乙肝患者肝硬化。B超检查如图所示,脾门处包块,根据超声声像图,诊断为A.脾门淋巴结肿大???(???)B.副脾C.脾门占位D...

作者: rantiku 人气: - 评论: 0
问题 患者男37岁,乙肝患者肝硬化。B超检查如图所示,脾门处包块,根据超声声像图,诊断为
选项 A.脾门淋巴结肿大???(???) B.副脾 C.脾门占位 D.腹腔占位 E.肾上腺肿瘤
答案 B
解析

猜你喜欢

发表评论
更多 网友评论0 条评论)
暂无评论

访问排行

Copyright © 2012-2014 恰考网 Inc. 保留所有权利。 Powered by tikuer.com

页面耗时0.0419秒, 内存占用1.03 MB, Cache:redis,访问数据库20次