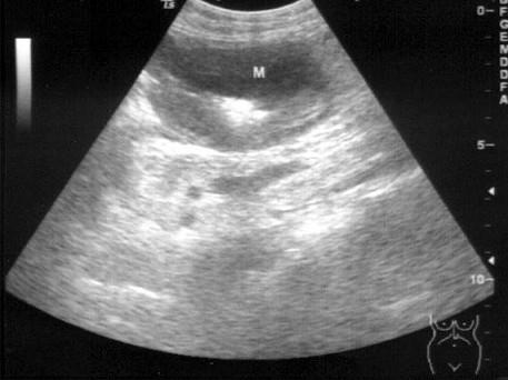
患者男65岁,上腹部疼痛3个月余,进行性加重1周余,进食后呕吐。上腹部B超检查如图所示,根据超声声像图诊断为?(?)A.胃溃疡B.胃炎C.胃癌...

作者: rantiku 人气: - 评论: 0
问题 患者男65岁,上腹部疼痛3个月余,进行性加重1周余,进食后呕吐。上腹部B超检查如图所示,根据超声声像图诊断为?(?)
选项 A.胃溃疡 B.胃炎 C.胃癌 D.肝癌 E.胰头癌
答案 C
解析

猜你喜欢

发表评论
更多 网友评论0 条评论)
暂无评论

访问排行

Copyright © 2012-2014 恰考网 Inc. 保留所有权利。 Powered by tikuer.com

页面耗时0.0336秒, 内存占用1.03 MB, Cache:redis,访问数据库15次