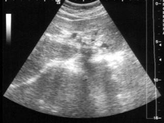
患者女36岁,反复上腹部疼痛不适数10年,偶尔皮肤、巩膜黄染。B超检查如图所示,根据超声声像图,诊断为?(?)A.左肝内胆管癌B.左肝内胆管蛔虫 ...

作者: rantiku 人气: - 评论: 0
问题 患者女36岁,反复上腹部疼痛不适数10年,偶尔皮肤、巩膜黄染。B超检查如图所示,根据超声声像图,诊断为?(?)
选项 A.左肝内胆管癌 B.左肝内胆管蛔虫 C.左肝内胆管胆泥淤积 D.左肝内胆管结石 E.左肝钙化灶
答案 D
解析

猜你喜欢

发表评论
更多 网友评论0 条评论)
暂无评论

访问排行

Copyright © 2012-2014 恰考网 Inc. 保留所有权利。 Powered by tikuer.com

页面耗时0.0424秒, 内存占用1.03 MB, Cache:redis,访问数据库20次