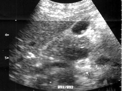
患者女27岁,体检B超检查如图所示,根据超声声像图,诊断为?(?)A.胆囊息肉B.胆囊结石C.胆囊腺瘤D.胆囊癌E.胆囊蛔虫

作者: rantiku 人气: - 评论: 0
问题 患者女27岁,体检B超检查如图所示,根据超声声像图,诊断为?(?)
选项 A.胆囊息肉 B.胆囊结石 C.胆囊腺瘤 D.胆囊癌 E.胆囊蛔虫
答案 A
解析

猜你喜欢

发表评论
更多 网友评论0 条评论)
暂无评论

访问排行

Copyright © 2012-2014 恰考网 Inc. 保留所有权利。 Powered by tikuer.com

页面耗时0.0394秒, 内存占用1.03 MB, Cache:redis,访问数据库20次