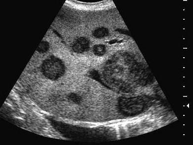
女性,59岁,右上腹痛。腹胀1周。病人于1991年因直肠癌行手术治疗。如果拟诊为继发性肝癌,超声表现错误的是?(?)A.肝内单个强回声结节B.多发...

作者: rantiku 人气: - 评论: 0
问题 女性,59岁,右上腹痛。腹胀1周。病人于1991年因直肠癌行手术治疗。如果拟诊为继发性肝癌,超声表现错误的是?(?)
选项 A.肝内单个强回声结节 B.多发的强回声结节 C.病灶呈多样性 D.病灶彩色血流不明显 E.病灶边界清楚,周围有声晕,呈牛眼征
答案 A
解析

猜你喜欢

发表评论
更多 网友评论0 条评论)
暂无评论

访问排行

Copyright © 2012-2014 恰考网 Inc. 保留所有权利。 Powered by tikuer.com

页面耗时0.0441秒, 内存占用1.03 MB, Cache:redis,访问数据库19次