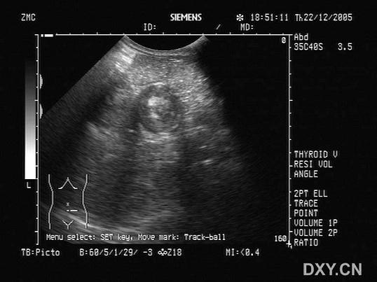
患者腹痛3小时,超声检查左下腹显像如图,诊断可能为?(?)A.肠道扩张B.肠道肿瘤C.肠套叠D.肠道蛔虫症E.肠结核

作者: rantiku 人气: - 评论: 0
问题 患者腹痛3小时,超声检查左下腹显像如图,诊断可能为?(?)
选项 A.肠道扩张 B.肠道肿瘤 C.肠套叠 D.肠道蛔虫症 E.肠结核
答案 C
解析

猜你喜欢

发表评论
更多 网友评论0 条评论)
暂无评论

访问排行

Copyright © 2012-2014 恰考网 Inc. 保留所有权利。 Powered by tikuer.com

页面耗时0.0432秒, 内存占用1.03 MB, Cache:redis,访问数据库20次