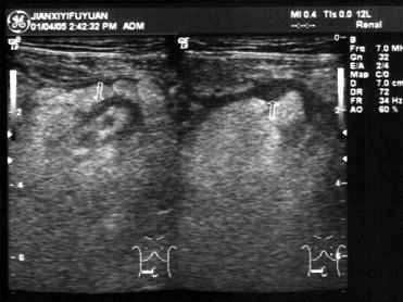
患者男17岁,右下腹痛2天,体检:右下腹压痛及叩击痛(+)。B超检查如图所示,根据超声声像图,诊断为?(?)A.急性阑尾炎B.回盲部肿瘤C.肠...

作者: rantiku 人气: - 评论: 0
问题 患者男17岁,右下腹痛2天,体检:右下腹压痛及叩击痛(+)。B超检查如图所示,根据超声声像图,诊断为?(?)
选项 A.急性阑尾炎 B.回盲部肿瘤 C.肠套叠 D.肠穿孔 E.肠结核
答案 A
解析

猜你喜欢

发表评论
更多 网友评论0 条评论)
暂无评论

访问排行

Copyright © 2012-2014 恰考网 Inc. 保留所有权利。 Powered by tikuer.com

页面耗时0.0489秒, 内存占用1.03 MB, Cache:redis,访问数据库20次