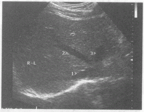
请回答图中1、2、3所指部位的解剖名称:A.1-肝右静脉、2-肝中静脉、3-肝左静脉B.1肝左静脉、2-肝中静脉、3-肝右静脉C.1-门脉右支...

作者: rantiku 人气: - 评论: 0
问题 请回答图中1、2、3所指部位的解剖名称:
选项 A.1-肝右静脉、2-肝中静脉、3-肝左静脉 B.1肝左静脉、2-肝中静脉、3-肝右静脉 C.1-门脉右支、2-肝中静脉、3-门脉左支 D.1-门脉右后支、2-门脉右前支、3-门脉左支
答案 A
解析

猜你喜欢

发表评论
更多 网友评论0 条评论)
暂无评论

访问排行

Copyright © 2012-2014 恰考网 Inc. 保留所有权利。 Powered by tikuer.com

页面耗时0.0346秒, 内存占用1.03 MB, Cache:redis,访问数据库19次