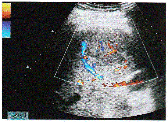
临床资料:男,41岁;自述明显消瘦、腹胀、食欲不振;患慢性乙型肝炎18年,化验检查:AFP增高。超声综合描述:肝表面不平,回声明显不均,有结节感,...

作者: rantiku 人气: - 评论: 0
问题 临床资料:男,41岁;自述明显消瘦、腹胀、食欲不振;患慢性乙型肝炎18年, 化验检查:AFP增高。 超声综合描述:肝表面不平,回声明显不均,有结节感,部分结节互相融合,肝中裂增宽,三支肝静脉变细,门静脉内径1.6cm,肝右叶可见7.1cm×4.2cm低回声区,内回声不均,CDFI:低回声内可见动静脉血流信号,周边可见血管绕行。见下图及彩图。 {图1} 超声提示:
选项 A.肝硬化 B.肝癌 C.门静脉增宽 D.以上各项均是
答案 D
解析

猜你喜欢

发表评论
更多 网友评论0 条评论)
暂无评论

访问排行

Copyright © 2012-2014 恰考网 Inc. 保留所有权利。 Powered by tikuer.com

页面耗时0.0424秒, 内存占用1.03 MB, Cache:redis,访问数据库19次