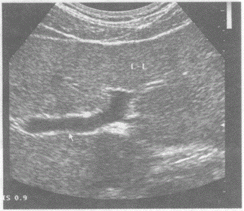
下图是肝脏横切正常超声图像,请回答箭头所指部位的解剖名称:A.门静脉左支横部B.门静脉左支矢状部C.门静脉左内支D.门静脉左外下支

作者: rantiku 人气: - 评论: 0
问题 下图是肝脏横切正常超声图像,请回答箭头所指部位的解剖名称:
选项 A.门静脉左支横部 B.门静脉左支矢状部 C.门静脉左内支 D.门静脉左外下支
答案 A
解析

猜你喜欢

发表评论
更多 网友评论0 条评论)
暂无评论

访问排行

Copyright © 2012-2014 恰考网 Inc. 保留所有权利。 Powered by tikuer.com

页面耗时0.0411秒, 内存占用1.03 MB, Cache:redis,访问数据库20次