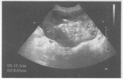
临床资料:女,77岁,自述腹胀、腹痛2月余,加重排便困难、大便变形2周。临床物理检查:左下腹可扪及一肿物,质硬无活动,轻度压痛。超声综合描述:左下...

作者: rantiku 人气: - 评论: 0
问题 临床资料:女,77岁,自述腹胀、腹痛2月余,加重排便困难、大便变形2周。 临床物理检查:左下腹可扪及一肿物,质硬无活动,轻度压痛。 超声综合描述:左下腹部可见15.0cm×8.0cm×15.0cm假肾样混合性回声区,边界清晰,壁厚1.7cm,中部可见气体样强回声。 超声提示:
选项 A.局限性小肠壁增厚 B.小肠壁增厚肠道实性占位(小肠间质瘤) C.放射性肠炎 D.肠结核
答案 B
解析

猜你喜欢

发表评论
更多 网友评论0 条评论)
暂无评论

访问排行

Copyright © 2012-2014 恰考网 Inc. 保留所有权利。 Powered by tikuer.com

页面耗时0.0388秒, 内存占用1.03 MB, Cache:redis,访问数据库16次