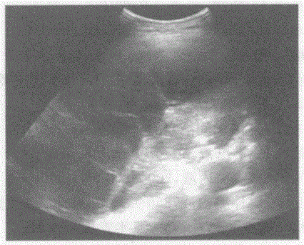
临床资料:女,53岁,自述胸闷不适月余。超声综合描述:左侧胸腔内可见大片状无回声区,呈网格状,最大深度4.8cm;其上方胸膜厚度1.1cm,边缘欠规整...

作者: rantiku 人气: - 评论: 0
问题 临床资料:女,53岁,自述胸闷不适月余。 超声综合描述:左侧胸腔内可见大片状无回声区,呈网格状,最大深度4.8cm;其上方胸膜厚度1.1cm,边缘欠规整。 超声提示:
选项 A.左侧胸腔积液(内见分隔)左侧胸膜增厚 B.左侧胸腔包裹性积液 C.左膈下积液 D.左肺脓肿
答案 A
解析

猜你喜欢

发表评论
更多 网友评论0 条评论)
暂无评论

访问排行

Copyright © 2012-2014 恰考网 Inc. 保留所有权利。 Powered by tikuer.com

页面耗时0.0391秒, 内存占用1.03 MB, Cache:redis,访问数据库20次