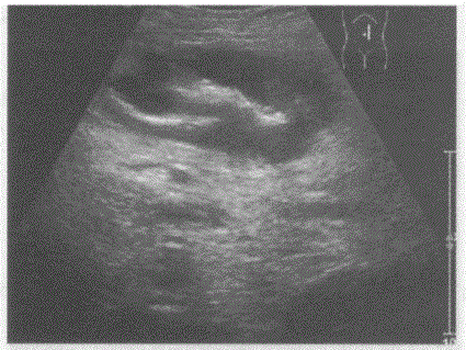
临床资料:男,60岁,自述左中腹可触及一肿物。化验检查:便潜血阳性。超声综合描述:右上腹扫查可见假肾样低回声区,中部可见气体样强回声,周边回声低。...

作者: rantiku 人气: - 评论: 0
问题 临床资料:男,60岁,自述左中腹可触及一肿物。 化验检查:便潜血阳性。 超声综合描述:右上腹扫查可见假肾样低回声区,中部可见气体样强回声,周边回声低。 超声提示:
选项 A.小肠壁增厚(肠癌) B.慢性结肠炎 C.阑尾周围脓肿 D.小肠正常声像图
答案 A
解析

猜你喜欢

发表评论
更多 网友评论0 条评论)
暂无评论

访问排行

Copyright © 2012-2014 恰考网 Inc. 保留所有权利。 Powered by tikuer.com

页面耗时0.0364秒, 内存占用1.03 MB, Cache:redis,访问数据库20次