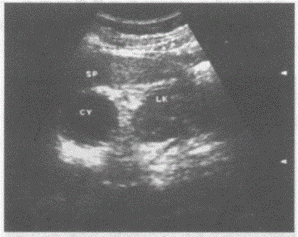
临床资料:女,55岁,常规体检。超声综合描述:左肾上极与脾之间可见3.4cm×4.0cm圆形无回声区,包膜完整,后方声加强,CDFI:内未见动静脉血流...

作者: rantiku 人气: - 评论: 0
问题 临床资料:女,55岁,常规体检。 超声综合描述:左肾上极与脾之间可见3.4cm×4.0cm圆形无回声区,包膜完整,后方声加强,CDFI:内未见动静脉血流信号。 超声提示:
选项 A.左肾囊肿 B.左肾上腺囊肿 C.脾囊肿 D.副脾
答案 B
解析

猜你喜欢

发表评论
更多 网友评论0 条评论)
暂无评论

访问排行

Copyright © 2012-2014 恰考网 Inc. 保留所有权利。 Powered by tikuer.com

页面耗时0.0389秒, 内存占用1.03 MB, Cache:redis,访问数据库20次