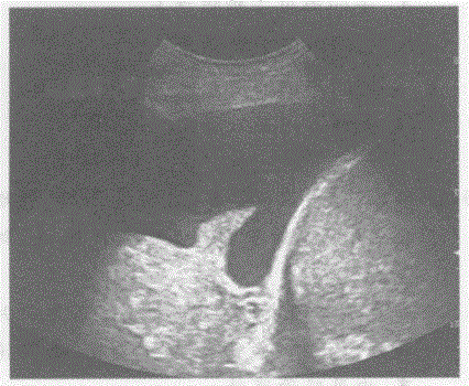
临床资料:男,46岁,自述呛咳、胸闷、进行性呼吸困难两周余。CT:右肺转移癌,肺不张。超声综合描述:坐位背部右侧胸腔扫查右肩胛线一右腋前线第8肋间以下...

作者: rantiku 人气: - 评论: 0
问题 临床资料:男,46岁,自述呛咳、胸闷、进行性呼吸困难两周余。CT:右肺转移癌,肺不张。 超声综合描述:坐位背部右侧胸腔扫查右肩胛线一右腋前线第8肋间以下可见大片状无回声区,深度7.0cm,距体表2.3cm,内透声清亮,无回声内见细长楔形中等回声区漂浮。 超声提示:
选项 A.右肺囊性占位 B.右侧胸腔包裹性积液右肺下叶不张 C.右膈下积液 D.右侧胸腔大量积液右肺下叶不张
答案 D
解析

猜你喜欢

发表评论
更多 网友评论0 条评论)
暂无评论

访问排行

Copyright © 2012-2014 恰考网 Inc. 保留所有权利。 Powered by tikuer.com

页面耗时0.0421秒, 内存占用1.03 MB, Cache:redis,访问数据库20次