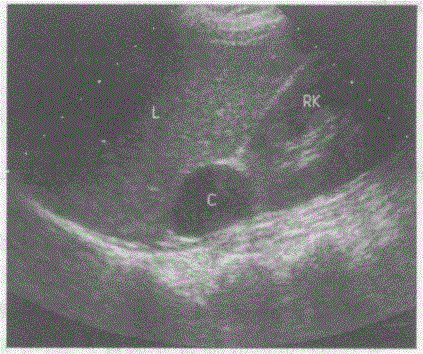
临床资料:女,50岁,常规体检。超声综合描述:肝右叶、右肾之间可见3.1cm×2.4cm椭圆形无回声区,内透声清亮,边界清晰,壁薄光滑,后方声加强。 ...

作者: rantiku 人气: - 评论: 0
问题 临床资料:女,50岁,常规体检。 超声综合描述:肝右叶、右肾之间可见3.1cm×2.4cm椭圆形无回声区,内透声清亮,边界清晰,壁薄光滑,后方声加强。 超声提示:
选项 A.右肾上极囊肿 B.肝右叶囊肿 C.右肾上腺囊肿 D.右肾上腺神经母细胞瘤
答案 C
解析

猜你喜欢

发表评论
更多 网友评论0 条评论)
暂无评论

访问排行

Copyright © 2012-2014 恰考网 Inc. 保留所有权利。 Powered by tikuer.com

页面耗时0.0513秒, 内存占用1.03 MB, Cache:redis,访问数据库18次