临床资料:女,44岁,自述近期间断发作性心悸、气短,严重时恶心、呕吐,视物模糊,血压190/100mmHg,持续时间数十分钟至数小时不等。超声综合描述...

作者: rantiku 人气: - 评论: 0
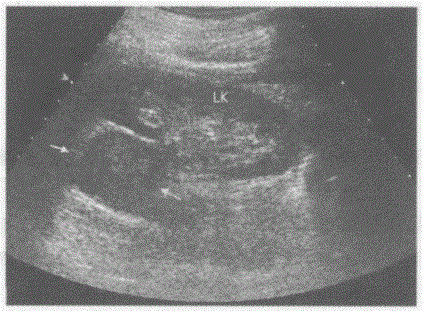
问题 临床资料:女,44岁,自述近期间断发作性心悸、气短,严重时恶心、呕吐,视物模糊,血压190/100mmHg,持续时间数十分钟至数小时不等。 超声综合描述:左肾上极可见3.4cm×4.0cm圆形低回声区(箭头所示),边界清晰,有完整的强回声包膜,受其推挤左肾上极形态失常,CDFI:低回声区内可见深入支动静脉血流信号。见下图及彩图。 {图1} 超声提示:
选项 A.左肾上腺嗜铬细胞瘤 B.平滑肌肉瘤 C.左肾癌 D.左肾静脉血栓
答案 A
解析

猜你喜欢

发表评论
更多 网友评论0 条评论)
暂无评论

访问排行

Copyright © 2012-2014 恰考网 Inc. 保留所有权利。 Powered by tikuer.com

页面耗时0.0365秒, 内存占用1.03 MB, Cache:redis,访问数据库18次