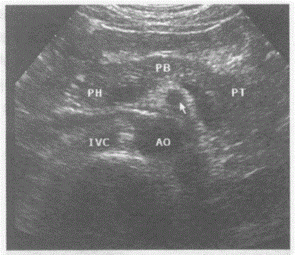
下图是剑突下横切正常超声图像,请回答箭头所指部位声像图的断面解剖名称.A.腹腔动脉B.肠系膜上静脉C.肠系膜下动脉D.肠系膜上动脉

作者: rantiku 人气: - 评论: 0
问题 下图是剑突下横切正常超声图像,请回答箭头所指部位声像图的断面解剖名称.
选项 A.腹腔动脉 B.肠系膜上静脉 C.肠系膜下动脉 D.肠系膜上动脉
答案 D
解析

猜你喜欢

发表评论
更多 网友评论0 条评论)
暂无评论

访问排行

Copyright © 2012-2014 恰考网 Inc. 保留所有权利。 Powered by tikuer.com

页面耗时0.0424秒, 内存占用1.03 MB, Cache:redis,访问数据库19次