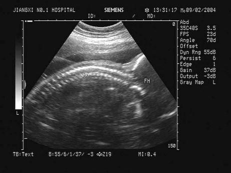
根据胎儿声像图,可见清晰脊柱和头颅光环,该胎儿至少应大于多少周?(?)A.12周B.8周C.6周D.28周E.32周

作者: rantiku 人气: - 评论: 0
问题 根据胎儿声像图,可见清晰脊柱和头颅光环,该胎儿至少应大于多少周?(?)
选项 A.12周 B.8周 C.6周 D.28周 E.32周
答案 A
解析

猜你喜欢

发表评论
更多 网友评论0 条评论)
暂无评论

访问排行

Copyright © 2012-2014 恰考网 Inc. 保留所有权利。 Powered by tikuer.com

页面耗时0.0686秒, 内存占用1.03 MB, Cache:redis,访问数据库19次