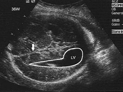
如图,36周胎儿,最可能的诊断是?(?)A.正常声像图B.脑疝C.脑积水D.泪滴状侧脑室E.以上都不是

作者: rantiku 人气: - 评论: 0
问题 如图,36周胎儿,最可能的诊断是?(?)
选项 A.正常声像图 B.脑疝 C.脑积水 D.泪滴状侧脑室 E.以上都不是
答案 D
解析

猜你喜欢

发表评论
更多 网友评论0 条评论)
暂无评论

访问排行

Copyright © 2012-2014 恰考网 Inc. 保留所有权利。 Powered by tikuer.com

页面耗时0.0389秒, 内存占用1.03 MB, Cache:redis,访问数据库17次