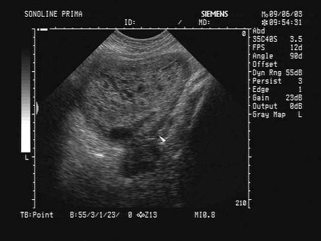
女,26岁,停经3个月,HCG阳性。根据B超检查声像图如下,最可能的诊断为?(?)A.葡萄胎B.子宫肌瘤C.稽留流产D.不全流产E.绒癌

作者: rantiku 人气: - 评论: 0
问题 女,26岁,停经3个月,HCG阳性。根据B超检查声像图如下,最可能的诊断为?(?)
选项 A.葡萄胎 B.子宫肌瘤 C.稽留流产 D.不全流产 E.绒癌
答案 A
解析

猜你喜欢

发表评论
更多 网友评论0 条评论)
暂无评论

访问排行

Copyright © 2012-2014 恰考网 Inc. 保留所有权利。 Powered by tikuer.com

页面耗时0.0379秒, 内存占用1.03 MB, Cache:redis,访问数据库17次