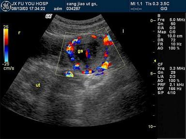
女性,28岁,停经46天,阴道不规则出血5天。血HCG68μg/ml。结合超声图像,最可能的诊断为?(?)A.畸胎瘤B.附件炎性包块C.子宫浆...

作者: rantiku 人气: - 评论: 0
问题 女性,28岁,停经46天,阴道不规则出血5天。血HCG68μg/ml。结合超声图像,最可能的诊断为?(?)
选项 A.畸胎瘤 B.附件炎性包块 C.子宫浆膜下肌瘤 D.宫外孕 E.囊腺瘤
答案 D
解析

猜你喜欢

发表评论
更多 网友评论0 条评论)
暂无评论

访问排行

Copyright © 2012-2014 恰考网 Inc. 保留所有权利。 Powered by tikuer.com

页面耗时0.0573秒, 内存占用1.03 MB, Cache:redis,访问数据库19次