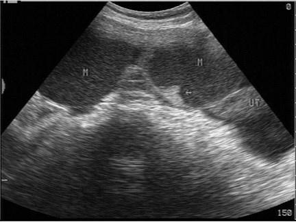
女性,50岁,乏力、食欲下降、消瘦2月余。妇科检查盆腔触及包块。超声检查如图,最可能的诊断为?(?)A.输卵管积液B.囊腺瘤C.畸胎瘤D....

作者: rantiku 人气: - 评论: 0
问题 女性,50岁,乏力、食欲下降、消瘦2月余。妇科检查盆腔触及包块。超声检查如图,最可能的诊断为?(?)
选项 A.输卵管积液 B.囊腺瘤 C.畸胎瘤 D.子宫肌瘤 E.转移性卵巢癌
答案 D
解析

猜你喜欢

发表评论
更多 网友评论0 条评论)
暂无评论

访问排行

Copyright © 2012-2014 恰考网 Inc. 保留所有权利。 Powered by tikuer.com

页面耗时0.0389秒, 内存占用1.03 MB, Cache:redis,访问数据库20次