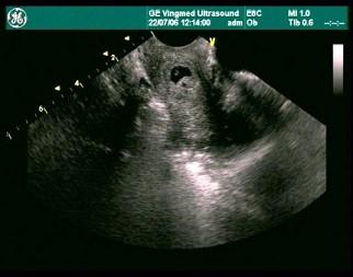
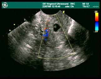
女性,32岁,因停经42天行超声检查,经阴道超声检查提示,初步判断为?(?)A.宫颈妊娠B.宫颈囊肿C.黄体囊肿D.葡萄胎E.以上都不对

作者: rantiku 人气: - 评论: 0
问题 女性,32岁,因停经42天行超声检查,经阴道超声检查提示,初步判断为?(?)
选项 A.宫颈妊娠 B.宫颈囊肿 C.黄体囊肿 D.葡萄胎 E.以上都不对
答案 A
解析

猜你喜欢

发表评论
更多 网友评论0 条评论)
暂无评论

访问排行

Copyright © 2012-2014 恰考网 Inc. 保留所有权利。 Powered by tikuer.com

页面耗时0.0644秒, 内存占用1.03 MB, Cache:redis,访问数据库18次