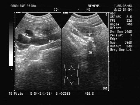
结合超声图像,肾脏积水最常见的原因是?(?)A.输尿管结石B.输尿管囊肿C.输尿管肿瘤D.输尿管脱垂E.输尿管先天畸形

作者: rantiku 人气: - 评论: 0
问题 结合超声图像,肾脏积水最常见的原因是?(?)
选项 A.输尿管结石 B.输尿管囊肿 C.输尿管肿瘤 D.输尿管脱垂 E.输尿管先天畸形
答案 A
解析

猜你喜欢

发表评论
更多 网友评论0 条评论)
暂无评论

访问排行

Copyright © 2012-2014 恰考网 Inc. 保留所有权利。 Powered by tikuer.com

页面耗时0.0446秒, 内存占用1.03 MB, Cache:redis,访问数据库20次