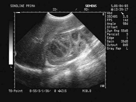
某患者高热,肾区疼痛,肾脏超声声像图如下,最可能的诊断为?(?)A.肾囊肿B.急性肾炎C.脓肾D.肾癌E.肾结核

作者: rantiku 人气: - 评论: 0
问题 某患者高热,肾区疼痛,肾脏超声声像图如下,最可能的诊断为?(?)
选项 A.肾囊肿 B.急性肾炎 C.脓肾 D.肾癌 E.肾结核
答案 C
解析

猜你喜欢

发表评论
更多 网友评论0 条评论)
暂无评论

访问排行

Copyright © 2012-2014 恰考网 Inc. 保留所有权利。 Powered by tikuer.com

页面耗时0.0402秒, 内存占用1.03 MB, Cache:redis,访问数据库19次