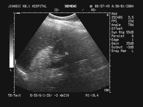
某患者无明显不适,根据其肝右叶-右肾区超声声像图,最可能的诊断为?(?)A.正常图像B.肾上腺髓样脂肪瘤C.肾上腺嗜铬细胞瘤D.肾脓肿...

作者: rantiku 人气: - 评论: 0
问题 某患者无明显不适,根据其肝右叶-右肾区超声声像图,最可能的诊断为?(?)
选项 A.正常图像 B.肾上腺髓样脂肪瘤 C.肾上腺嗜铬细胞瘤 D.肾脓肿 E.肾上腺腺瘤
答案 B
解析

猜你喜欢

发表评论
更多 网友评论0 条评论)
暂无评论

访问排行

Copyright © 2012-2014 恰考网 Inc. 保留所有权利。 Powered by tikuer.com

页面耗时0.0553秒, 内存占用1.03 MB, Cache:redis,访问数据库15次